Chia sẻ từ bác sĩ Tuyến sau một ca điều trị viêm lợi
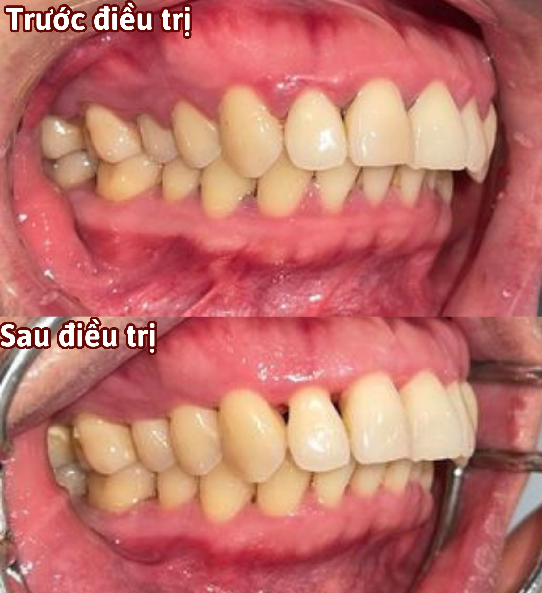
Trong một buổi khám gần đây, tôi tiếp nhận một bệnh nhân gặp tình trạng viêm lợi khá rõ: lợi sưng, dễ chảy máu và đau khi đánh răng. Bệnh nhân cho biết gần như mỗi lần chải răng đều thấy máu ở chân răng, kèm theo hơi thở có mùi, khiến họ rất khó chịu và mất tự tin khi giao tiếp.
Sau khi thăm khám, tôi hướng dẫn bệnh nhân cải thiện thói quen vệ sinh răng miệng và sử dụng thêm bộ cân bằng vi khuẩn Lusmile để hỗ trợ kiểm soát tình trạng viêm.
Trong quá trình theo dõi, tôi nhận thấy sự cải thiện diễn ra khá nhanh. Sau vài ngày đầu, hiện tượng chảy máu khi đánh răng đã giảm rõ rệt, cảm giác đau ở vùng lợi cũng dịu đi. Đến ngày thứ 5, khi kiểm tra lại, lợi của bệnh nhân đã bớt sưng, màu sắc ổn định hơn và gần như không còn chảy máu chân răng. Mô lợi trở nên săn chắc hơn, hơi thở cũng dễ chịu hơn so với trước.

Từ kinh nghiệm thực tế trong ca này, tôi nhận thấy khi môi trường vi khuẩn trong khoang miệng được kiểm soát tốt, mô lợi có khả năng phục hồi khá nhanh. Việc sử dụng Lusmile kết hợp với chăm sóc răng miệng đúng cách có thể hỗ trợ hiệu quả cho những trường hợp viêm lợi ở giai đoạn sớm.
— Bác sĩ Tuyến
